WIR GEBEN IHNEN IHR
LÄCHELN ZURÜCK!

Einige Behandlungsbeispiele im Vorher/Nachher-Vergleich

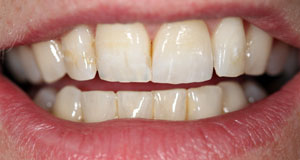
12, 22 unsichtbare Zirkonoxidkronen
auf Milchzähnen einer 18-Jährigen.

Schieben Sie die die Pfeile hin und her und sehen sie den Unterschied..

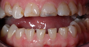
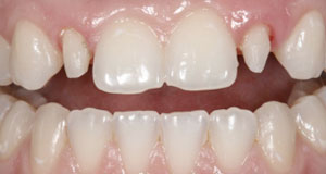
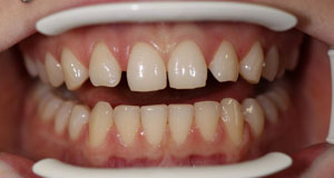
Von 12-23 Veneers. 12-22 mesial und
distal aufgeklebte Keramikchips.

DIE METAMORPHOSE:

  • Stacks Image 868
  • Stacks Image 871
  • Stacks Image 874
Stacks Image p911_n13